کلینیک دندانپزشکی شبانه روزی رایا


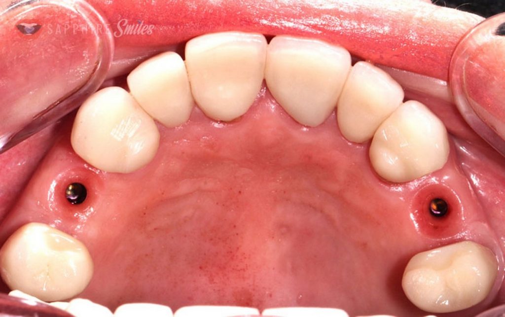
ایمپلنت دیجیتال
یکی از بهترین و موثرترین روش ها برای داشتن دوباره لبخندی زیبا، ایمپلنت دیجیتال است. value="20"] years
این روش، روشی مدرن برای کاشت ایمپلنت ها در محل دندان های از دست رفته است. در ایمپلنت دندان به روش دیجیتال از تجهیزات و نرم افزارهایی پیشرفته و به روز استفاده می شود.
در واقع در روش های قدیمی کاشت ایمپلنت، ابتدا با استفاده از موادی مخصوص، قالبی از دهان و دندان های بیمار تهیه می شد. سپس بر اساس آن، دندانپزشک اقدام به تهیه و کاشت ایمپلنت ها در محل مورد نظر می کرد. این در حالیست که در ایمپلنت دیجیتال، دیگر خبری از قالب گیری های قدیمی نیست.

چرا کلینیک دندانپزشکی رایا؟
درمان دندانپزشکی به ندرت با یک جلسه و با یک ملاقات بیمار و پزشک پایان می پذیرد. اکثرا لازم است که بیمار قابلیت دسترسی مجدد به محل درمان چه به صورت حضوری و چه غیر حضوری داشته باشد تا در صورت بروز هر نوع مشکل احتمالی بتواند جهت حل مشکل خود اقدام کند، برای مثال بیمار پس از درمان جراحی و با مراجعه به منزل خود پس از چند ساعت با خونریزی مواجه میشود، چه بسا این اتفاق در نیمه شب رخ دهد، این حق هر بیمار است که آسوده خاطر از هر نوع عوارض درمان باشد
- آیا میتوان کامپوزیت دندان را برداشت؟
- لمینت سرامیکی دندان (ونیر سرامیکی) چیست؟
- لمینت سرامیکی دندان (ونیر سرامیکی) چیست؟
پرونده درمانی موفق
درصد رضایت مشتریان
This is the title
This is the title
Lorem ipsum dolor sit amet, consectetur adipiscing elit, sed do eiusmod tempor incididunt ut labore et dolore magna aliqua. Ut enim ad minim veniam, quis nostrud exercitation ullamco laboris nisi ut aliquip ex ea commodo consequat. Duis aute irure dolor in reprehenderit in voluptate velit esse cillum dolore eu fugiat nulla pariatur. Excepteur sint occaecat cupidatat non proident, sunt in culpa qui officia deserunt mollit anim id est laborum.





